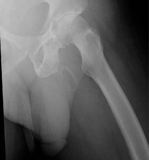
据生命科学网(livescience)报道,一名63岁老人摔了一跤后,做X光检查发现阴茎中长出了骨头。
来自于《泌尿学病理报告杂志》的这份报告介绍,这名男子在人行道上摔到了臀部,就诊过程中他除了反应膝盖疼痛外,还说阴茎也很疼。医生为他做了骨盆X光检查,发现了一个奇特的事情:他的阴茎发生骨化,也就是长出了骨头。报告作者称,“阴茎骨化”情况目前非常罕见。
当钙盐在体内软组织积聚时,就会发生骨化,导致身体中有结缔组织的区域形成骨骼。这种疾病虽然罕见,但与一种名为佩罗尼氏病的疾病有关,也叫阴茎硬结症。这种疾病可发生在阴茎疤痕组织部位,导致阴茎弯曲,可能导致阴茎疼痛。









